
Explantaciones seriadas y enfoque rehabilitador innovador
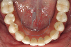
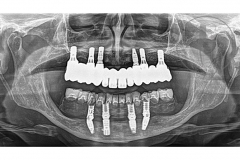
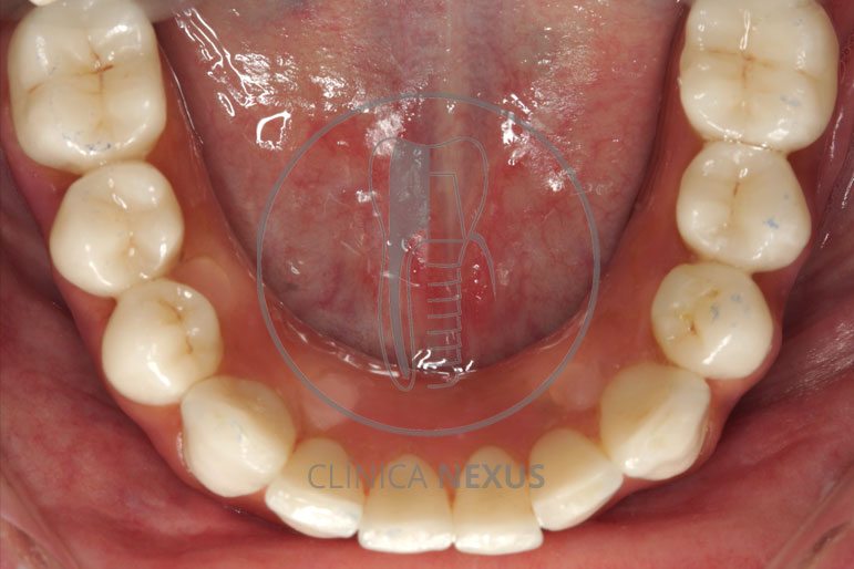
Rehabilitación bimaxilar fija implanto-soportada mediante un enfoque novedoso que se argumenta bajo el uso de nuevos materiales restauradores. Se trata de un paciente que era portador de una rehabilitación sobre implantes previa fracasada. Si desea conocer en detalle las características del caso clínico puede acceder al artículo que publicamos al respecto en el Journal Prosthetic Dentistry

Comentarios (0)