
Regeneración Periodontal en defectos infraóseos extensos
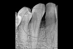
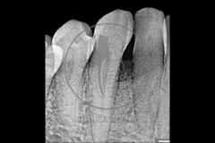
Tratamiento de defectos periodontales infraóseos en sector antero-inferior empleando gel de amelogeninas (Emdogain®) en combinación con un aloinjerto óseo (Biobank®). Paciente de 64 años, sin problemas médicos de relevancia, que presenta una periodontitis leve generalizada, pero asociada a presencia de defectos óseos verticales profundos a nivel de los espacios interdentales entre los caninos y los incisivos laterales inferiores. Tras la pertinente fase higiénica, se llevó a cabo una cirugía periodontal regenerativa, en la que, tras eliminar el cálculo subgingival (factor causal), se empleó una combinación de amelogeninas con un aloinjerto, para promover la regeneración tisular del periodonto perdido. Las imágenes clínicas y radiológicas, al año de seguimiento, reflejan un resultado terapéutico óptimo, con regeneración completa del tejido periodontal y mejora del pronóstico de los dientes involucrados.

Comentarios (0)